Reproduction

Reproduction

Start image - please click here
Female depositing her eggs
  1. In the field

    So far no one has watched any copulation outside of the shelters of Heloderma. There is a single case reported for the wild, when a male persuwed a female outside a shelter for more than one hour to mate. Finally, there was no evidence for a successful mating (Ref. 79). A single deposit of egg´s was documented and made public (Ref. 20). The accurate hatching time of youngsters is not known. The hatchlings (weight about 35 gms) are observed at the end of April up to early June. Eggs are laid in June and one can only speculate that hatching occurs in the late fall. The hatchling immediately starts hibernation without going up above the ground. The second theory postulates a developed embryo that remains inside the egg over winter and hatches in spring.

    These discussions finally came to an abrupt, unexpected end, when on October 28 th., 2016, a backhoe was digging at the outer walls of a house in a suburb of northern Tucson, AZ. The backhoe extracted a nest of Heloderma suspectum with 5 little individuals in the process of hatching. The complete process of “recovery” has been carefully documented by ROGER REPP (Ref. 67). Now we know, that the Gila hatches at about the end of October and then proceeds into hibernation without showing up above the ground surface.



  2. In captivity

    Captive bred Heloderma become sexually active in their third year. Male individuals might need one season more for maturity. They have to reach a snout-vent length (SVL) of at least 22 cm for sexual maturity and females have to gain a SVL of 24 cm (Ref. 22). Imperative for a successful breeding is a hibernation of a minimum of three months at about 13°C average. Copulation occurs when mature follicles ("bloating" of the female) are present. Males have to supply fully mature sperm at the same time.

    Oviposition proceeds after 4-5 weeks, if the female is provided with an accepted and suitable site (Ref. 23). An average clutch of eggs consists of 4 to 5, at the best of conditions, the maximum is 7 eggs. A few days before the eggs are deposited the female often refuses food. Slender females can lay small clutches however it is not known the female is gravid due to her size.

    Although the eggs have been removed the female forms a hill of sand above the deposting site - now the egg deposit is compleated. There she stays a few days to observe and to protect her supposed eggs.

    The eggs are transferred as soon as possible to an incubator. If the humidity in the incubator is below 98% Rh, it can be raised by providing two flat trays half filled with water. The trays should be placed at the top and bottom of the incubator. The humidity within the incubation boxes should be close to 100% Rh.

    Females protecting their egg depositing sites

    In captivity In captivity In captivity In captivity

    Incubation time of the eggs varies from 134 - 155 days (five months!) depending on the incubation temperature (26 - 29°C). While being incubated, healthy eggs have the smell of forest soil and seem to be highly resistant to fungus infections. The embryo in the egg is connected with the yolk sack via the umbellical cord. Two to three weeks before hatching, the eggs normally start to dent and final hatching takes place within 48 hours. While hatching, the yolk sack is completely retracted into the abdomen. The yolk is going to be absorbed (Ref. 24,25,26,27,28,29,30).

    The cycle of reproduction is depicted in the following photographs.

    Copulation of two different pairs each with left and right hemipenis

    Copulation Copulation Copulation Copulation
     Video

    At the beginning of a mating season, males shed their hemipenisses. The male will hook a rear limb around her pelvis and position the tail under. This will align the male´s cloaca for introduction of one of the hemipenis's. The sperm passes out of the sperm duct which ends up next to the cloaca. It is then transported via a groove within the surface of the irrigated hemipenis into the females cloaca. From there it passes through the oviducts up to the ovaries to finish in fertilization. (Ref.46). Copulation lasts for about 2,5 hours.

    Dry sperm on the outside of the females cloaca can indicate copulation. Sperm at the male cloaca may indicate an ejaculation. This however does not indicate actual copulation. A delayed fertization (amphigonia retarda) appears to be unlikely in Heloderma. Only at sufficient synchronization (about two weeks) of the reproductive cycle of both sexes fertile eggs will be deposited (pers.observ.).

    The hemipenis does not have a urethra. Urine is passed via the cloaca (ref. 46).

    Copulation Copulation Copulation Copulation
    The exposed hemipenis attempting copulation (Groove within the surface of hemipenis).
    Copulation Copulation Copulation Copulation
    Selection of shedded hemipenis skins Excess sperm fluid shortly after copulation The exposed female cloaca

    Females seem to prefer "certain" males. If the "chemistry" fits, copulation proceeds within half an hour. Sometimes a female is only susceptible after many hours of "molesting" and she may bite at the male. Watching the behavior of specimens to encurage copulation has shown that it is more effective to introduce females to males in their environment. By doing it in reverse the male would spend a lot of time to mark his new environment and possibly forget about copulation.

    Diagrams of sexual organs


    Diagram of sexual organs Diagram of sexual organs Diagram of sexual organs Diagram of sexual organs
    A: Sexual organs of female
    1) Egg ready for deposit, 2) ovaries, 3) fallopian tube, 4) mouth of fallopian tube into cloaca, 5) colon, 6) ostitium
    B: Sexual organs of male
    1) Gonades, 2) SIDE gonades, 3) mouth of "urine-sperm-tube" into the cloaca, 4) kidney, 5) colon
    C: Hemipenis of Heloderma suspectum D: Hemipenis of H. horridum alvarezi

    A: After the burst of the ovarial wall ripe egg cells float freely into the abdominal cavety. From there they merge upwards to long slit-like openings (ostians) into the fallopian tubes. While wandering into the direction of the cloaca they are fertilized by the sperm. (Ref. 54).

    B: The gonades are sitting like little balls above the kidneys. Next to the kidneys are the elongated NEBEN gonades, consisting like a net, woven by thin channels. The exit tubes that follow the middle edge of the kidney wall to form the sperm ducts. Shortly before their entrance into the cloaca they merge with the urinal duct to enter as one tube into the cloaca ( Ref. 54).

    C, D: The hemipenisses live in two pockets on the right and left side below the beginning of tail. They consist of hollow tubes, that can be turned inside out. To copulate the male expells depending on the species, one or both of the hemipenisses. A groove within the surface of the erigated hemipenis faciliates the transport of sperm into the female cloaca. The construction of a hemipenis is specific for a species.


    Demonstration of a complete cycle of reproduction including: copulation, pre-egg shed, oviposition and hatching of the offsprings

    Cycle of reproduction Cycle of reproduction Cycle of reproduction Cycle of reproduction
    Cycle of reproduction Cycle of reproduction Cycle of reproduction Cycle of reproduction


    GRAPH OF THE EMBRYONIC DEVELOPMENT OF LIZARDS

    A: State of the egg at time of deposit B: Very young embryo C: Young embryo
    A: State of the egg at time of deposit
    1) Layer with minerals, 2) blastoderm, 3) egg membrane ( serosa), 4) yolk
    B: Very young embryo
    1) Embryo, 2) amnion, 3) allatois, 4) yolk, 5) serosa, 6) yolk sack, D ) dextraembryonal coelom
    C: Young embryo
    1) Embryonic ANLAGE, 2) amnionic falt, 3) allantois, 4) jolk, 5) serosa, 6) colon

    B: The embryo has separated itself a little from the yolk. Colon and yolk sack are connected to each other. The yolk is yet not completely surounded by the entoderm. In front and behind the embryonic body the amnionic folds are rising. Their outer wall changes into the chorion (serosa). It is supported by a mesodermic layer, that lies directly with its membranes under the skin.

    C: The embryonic membranes are completely developed and the yolk is totally included within the yolk sack.The amnion consists of a thin layer of ectoderm, covered by the mesoderm. The amnion develops into a sack, filled with liquid. Therein the embryo floats like within a little pond. The chorio-allantois serves as a "primitive placenta" responsible for the exchange of metabolic substances (products). The cavern of the allantois serves as a depot for nitrogen containing products (e.g. uric acid) of the embryo. Amnion , chorion and chorio-allantois are retained in the "egg" when the youngster emerges.

    The scales of a lizard develop in the late state of the embryonic growth: first the body scales, then followed by the head shields. Pigments appear first in the eyes then around the parietal organ and finally in the skin (Ref. 54).


    DEVELOPMENT OF EMBRYO - HATCHING

    Cycle of reproduction DEVELOPMENT OF EMBRYO - HATCHING Cycle of reproduction Cycle of reproduction
    Surface of egg with crystals Substrate-free incubation of eggs of Heloderma Candling of fertile eggs shortly after egg deposition   Video
    Egg after 4 months of incubation: note the prominent blood vessels and embryonic shape
    DEVELOPMENT OF EMBRYO - HATCHING DEVELOPMENT OF EMBRYO - HATCHING Cycle of reproduction
    Embryo of ca. 3 weeks of age Embryo of ca. 6 weeks of age Vitality check: Graph documentation of the embryonic heart beat rate (Avitronics, Buddy Digital Egg Monitor)
    DEVELOPMENT OF EMBRYO - HATCHING DEVELOPMENT OF EMBRYO - HATCHING DEVELOPMENT OF EMBRYO - HATCHING
    Single egg tooth of Heloderma Scratched eggs by egg tooth Shortly after hatching: bulky abdomen with egg yolk


    When a Heloderma oocyte is fertilized, within the next 6 weeks a soft-shelled egg will develop around it. Immediately after an egg deposition the blastoderm is detectable by means of candling. Within the first ca. 12 hours the blastoderm can move freely within the egg. It will move to the upper wall of the shell (pers.observ.). There after the yolk sack sinks to the bottom of the egg and the embryo is connected to it by the umbellical cord. At this point the embryo is floating above the yolk. The wall of the egg shell is now permeable to oxygen. A turn of an egg at this time will destroy the growing embryo – like in oviparous snakes (Ref. 45, 50, 54). Is the missing of the hail strings (chalaza) responsible for the death of the embryo? From now on a differentiated net of veins is going to develop to supply the embryo with all its needs.

    The growth of an embryo at ca. 27°C will take about five months. The egg white is the source of proteins and minerals. The yolk sack holds the yolk and will descend to the bottom of the egg. It is connected to the liver and should be retracted in total before a hatchling leaves the egg. The yolk also serves as a first meal.

    At the end of the development of the hatchling a singular egg tooth tips the upper mouth (praemaxilla). This tooth enables the hatchling to slit the shell from the inside to emerge from its egg. The egg tooth is a real tooth, which will be lost shortly after hatching (Ref. 43, 46).



    Difference in size of two hatchlings with two one year old specimens. Weight at hatching is about 35 grams and after one year about 380 grams.

    Cycle of reproduction Cycle of reproduction

  3. Cycle of reproduction

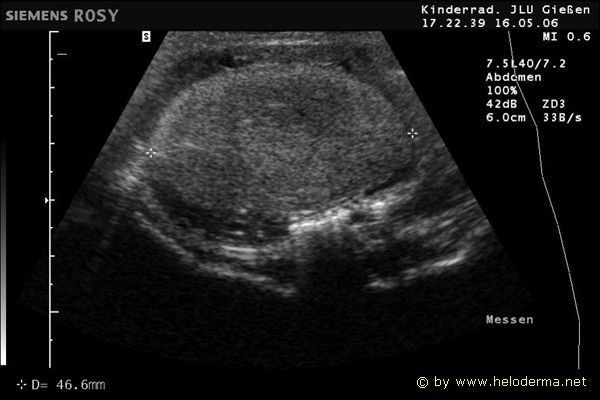
    Control of the cycle of reproduction using ultrasound and X-ray

    Ultrasound Ultrasound Ultrasound Ultrasound
    9.3.06 Developing follicles 9.3.06 Developing follicles 16.5.06 Egg in developement 16.5.06 Egg in developement
    no egg deposit in june 06 Ultrasound Ultrasound Ultrasound
    no egg deposit in june 06 06-06-22
    Egg to be reabsorbed
    06-10-20
    New follicles appear
    06-10-20
    X-ray did not detect eggs*

    * Note the abundance of osteoderms as small white points

    Ultrasound with measurement of egg size about three weeks before oviposition.

    Ultrasound Ultrasound Ultrasound Ultrasound
    Ultrasound Ultrasound Ultrasound Ultrasound

  4. Combat

    Combat in Heloderma is a ritualized fight between two males at the time of courtship and mating. A dominant male out of this combat is often preferred to copulate by a nearby female (Ref. 31).

    Sequences of combat (in captivity)

    Combat between two males Combat between two males Combat between two males Combat between two males
      Video
    Combat between two males Combat between two males Combat between two males, a female gets attracted Combat between two males, a female gets attracted
      Video with sound   Video with sound   Video with sound   Video with sound

    The sequence of photographs and video animations demonstrate that a nearby female is interested in this to happen and can be seen interfering with the struggling males.

    Some sequences of a combat resemble positions of a male-female courtship. Nevertheless, if a male wants to achieve copulation (notice groove within surface of hemipenis), he may show a similar aggressive behavior. This may give the observer the possibility of confusion and misinterpretation about courtship and combat.

  5. Courtship

    To show the difference in combat and courtship, photographs and video animations as follows.

    Courtship Courtship Courtship Courtship
    Courtship  Video      

heloderma.net